Dechter and Moy Dentistry offers tooth bonding in Silver Spring, MD, to address many dental issues. Bonding is an effective, economical treatment option. It can repair minor tooth damage and address minor cosmetic dental concerns. Dental bonding is a simple cosmetic dentistry treatment that can improve the appearance of your teeth.

What Is Dental Bonding?
It can be the perfect option for younger patients or adult patients of any age. Affordable dental bonding is an economical alternative to its counterpart, porcelain veneers.
Dr. Dechter and Dr. Moy can use tooth bonding to enhance the beauty of your smile while improving your oral health. We can restore, enhance and even transform the look of your teeth in one single visit!
Today’s bonding materials provide color-matching and superior capability that creates a beautiful result. With the skillful application of the composite resin compound, your mouth will be as comfortable as ever. Although not a permanent restoration, cosmetic bonding can last 10 or more years with good oral hygiene and dental care.
How Can Tooth Bonding Help Me?
Tooth bonding is a cosmetic dental treatment that can improve the appearance of imperfect teeth. We can use bonding to fill cavities or protect the exposed root of a tooth. We can also use tooth bonding to fill in the grooves and depressions on your teeth prone to staining or decay.
Teeth can change over time. If you don’t like their look, you can use bonding to enhance them. Tooth bonding is a cosmetic dental procedure that our dentist will use to repair teeth with the following issues:
- Tooth discoloration
- Gaps between teeth
- Misshapen teeth
- Chipped tooth
- Cracks in teeth
- Broken teeth
- Fractured teeth
- Worn down teeth
- Sharp edges on teeth
- Teeth riddled with cavities
If we link these problems to underlying issues, our dentist may recommend restorative treatments before addressing cosmetic concerns. Addressing foundational issues will ensure that your results last as long as possible.
The Benefits of Dental Bonding
Dental bonding is a simple and popular way to improve the look of your teeth, and it comes with many benefits. At our Silver Spring dental office, Dr. Dechter and Dr. Moy use tooth bonding to help patients fix small problems and feel great about their smiles. Some of the top benefits of tooth bonding include:
- Improves Your Smile: Dental bonding is a fast way to fix small problems with your teeth, like chips, cracks, or stains. We use a tooth-colored material that blends in with your natural teeth. After bonding, your teeth will look smooth and clean.
- Affordable Option: Dental bonding is a cost-friendly choice compared to other cosmetic treatments. It can fix many of the same problems that veneers or crowns treat but at a lower cost. This makes bonding a great option if you want to improve your smile without spending a lot of money.
- Quick Treatment Time: Bonding is a very quick treatment. Most people only need one visit, and it usually takes about an hour or more based on how many teeth need care. You can leave our office with brighter and healthier teeth on the same day.
- Little to No Tooth Prep: Dental bonding is gentle on your natural teeth. Our dentist only needs to lightly shape the tooth, unlike other treatments, like veneers, that require removing more of the tooth’s surface. This makes bonding a simple and easy option for many patients.
- Reversible Treatment: One of the biggest benefits of dental bonding is that it’s reversible. Because the treatment doesn’t remove much of your natural tooth, you can choose to have it taken off in the future. If you decide you want a more permanent option like veneers later on, we can easily remove the bonding material.
With dental bonding, you can enjoy a more confident smile without a big commitment. You don’t need long treatment times or high costs to get the results you want. Bonding is a simple way to refresh your teeth and feel your best.
What Results Should I Expect?
The result will be a beautiful, natural-looking smile that doesn’t even look like it has had work done. However, tooth bonding is not permanent. The cosmetic benefits will last three to ten years with proper oral hygiene practices. We still recommend that you brush and floss daily.
Regular dental check-ups and cleanings every six months are part of a good oral hygiene regimen too. Some patients notice slight tooth sensitivity directly following the bonding procedure. These symptoms will fade away after a few days.
The Dental Bonding Process in Silver Spring, MD
The tooth bonding process is similar in many ways to a dental filling procedure. During your visit, one of our dentists will examine your teeth and the damaged area. The exam will help us determine if you have tooth damage because of a minor issue or a more complex dental problem. For example, TMD issues, teeth grinding, and tooth decay can damage your teeth.
We must address any underlying issues before we begin tooth bonding treatment. Dr. Dechter or Dr. Moy may recommend gum disease treatment or root canal therapy to ensure your teeth are free of infection.
Tooth Prep
If dental bonding is the right choice to repair your teeth, we will begin by numbing the area with a local anesthetic. Although this is not always necessary. We will do our best to make sure you are comfortable and aware of every step.
Next, Dr. Dechter or Dr. Moy will remove a minimal amount of tooth enamel. He will carefully etch the surface of your tooth to prepare it for bonding. This allows the compound to adhere securely and smoothly.
Sculpting and Color Matching
Then, our dentist will directly apply a tooth-colored composite resin onto the tooth.
Next, Dr. Moy or Dr. Dechter will skillfully sculpt the tooth-colored resin into the desired shape and color-match it to the tooth. We will make sure we match the color of the bonding to the rest of your teeth.
Final Bonding
Once our dentist completes this step, he will cure and harden the bond using a UV light. Then he will polish the tooth to ensure a quality result.
Patients should follow a proper oral hygiene routine and schedule regular visits to ensure a long-lasting result. The best part about teeth bonding is that it does not require extra care or special products. Keep up with your regular dental appointments and it will last a while.

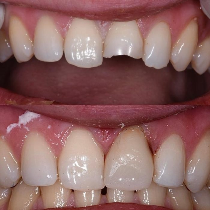
Before and after tooth bonding at Dechter & Moy
Patient Review
“The dentists are caring, professional, and efficient with time. I have been seeing them for 10-plus years and I am always a satisfied customer. They go out of their way to make you comfortable and to make sure that any problem you may be having is taken care of, so that’s why they will always be my dentist.”
-Sharon S.
Frequently Asked Questions
Discover more about tooth bonding in Silver Spring, MD, with answers to these common questions.
When can I eat after tooth bonding?
You should wait to eat or drink a few hours after the procedure. This gives you time to adjust to the bond. You may experience sensitivity to hot and cold in the area for a couple of hours after treatment. If you have particularly sensitive teeth, use toothpaste specifically for tooth sensitivity such as Sensodyne.
Do bonded teeth look like real teeth?
Yes! Bonded teeth can look very natural. Dr. Dechter and Dr. Moy use high-quality, tooth-colored materials that are carefully matched to the color of your other teeth. They skillfully shape and polish the bonding so it blends in seamlessly. After treatment, it can be hard to tell which teeth have been treated.
Can you whiten bonded teeth?
No, the composite material used in bonding does not respond to teeth whitening products. Dr. Dechter and Dr. Moy carefully color-match the bonding to your teeth. If you plan to whiten your teeth, we recommend treatment before bonding so the color matches perfectly. We can polish or replace the bonding to restore a bright look if your teeth become discolored over time.
Does bonding ruin your teeth?
No, bonding doesn’t ruin your natural teeth. Dental bonding is a minimally invasive procedure and a semi-permanent option. Our dentist can remove it at any time with zero damage to the enamel and surface of your teeth.
This procedure does not damage or weaken your natural teeth. It actually strengthens them by adding a layer of protection against damage and decay. However, the bonding material may eventually stain or chip. You will need touch-up treatments and maybe teeth whitening over time.
Can I get teeth bonding on my front teeth?
Yes! Our dentist can bond front teeth to close gaps between them, and fix chipped front teeth. Bonding improves the look of your smile while also repairing a chipped, cracked, or broken front tooth. Bonding of front teeth is an easy procedure that requires minimal preparation and is generally pain-free.
Does tooth bonding break easily?
Tooth bonding is strong and durable. However, it’s not impervious to damage. Patients should avoid biting directly into hard foods with their bond to protect it. It should not break from occasional wear.
Are you ready to close the gaps in your smile with a bonding treatment? Dechter & Moy Dentistry provides beautiful results with this cosmetic treatment in our Silver Spring dental office.
Is tooth bonding a permanent solution?
Tooth bonding isn’t a permanent solution. With good oral care, it usually lasts 5-10 years. However, bonding can chip, crack, or stain over time. We can often touch it up or replace it. For a more permanent option, consider veneers or crowns.
Can bonded teeth get cavities?
Bonded teeth can still get cavities. The bonding material doesn’t prevent decay. Cavities can form at the edges where the bonding meets your natural tooth. Good oral hygiene is crucial to protect both the bonding and your tooth. Dental checkups can catch any issues early. Remember, bonding covers only part of your tooth. The other areas are still vulnerable to decay.
Treat Your Teeth
Are you interested in tooth bonding in Silver Spring, MD? Give us a call at (301) 508-9755. You can also request an appointment online today. Please let us know if you have questions about the treatment. We’re here to help.
