Dental crowns are one of the most useful restorative treatment options available to our patients today. Crowns can address both restorative and cosmetic issues. Dental crowns have improved a lot thanks to new materials and technology. They fit better, last longer, and our dentists can put them in on the same day using computer-aided design software. Dr. Dechter and Dr. Moy offer same-day dental crowns in Silver Spring, MD.

What Do Crowns Treat?
We can provide same-day crowns using our in-office CEREC technology. We may recommend the placement of a custom-fit dental crown for a wide range of concerns.
Tooth Damage
Crowns are often used to repair damaged teeth. If a tooth is decayed, chipped, cracked, or broken, a crown can restore its strength and shape. It acts as a “cap” that fits over the entire tooth, protecting it from further damage and preventing infection. Crowns can be used on both front and back teeth, depending on where the damage is.
Cosmetic Concerns
A dental crown can also be used to improve the appearance of a tooth. If a tooth is discolored, misshapen, or too worn down, a crown can change its color, shape, and overall look. This is a great option for people who want to improve their smile and restore a more natural or attractive appearance to their teeth.
Post Root Canal Treatment
After you have a root canal, the tooth may become weaker and more prone to damage. To protect and strengthen the tooth after the procedure, your dentist will often recommend placing a crown. The crown covers and supports the treated tooth, ensuring that it remains strong and functional.
Dental Implant Restoration
If you’ve lost a tooth and are getting a dental implant, the final step of the procedure involves placing a crown on top of the implant. The crown acts as the visible part of the new tooth, providing a natural look and restoring function, such as chewing and speaking. This is a great option for replacing a single missing tooth.
CEREC: Same-day Dental Crowns in Silver Spring, MD
CAD/CAM technology allows our dentists to create a high-quality ceramic dental crown in a single visit. CEREC uses digital technology to transform your dental impressions into a porcelain crown using an in-office milling machine. This method is convenient and cost-saving for all.
Patients appreciate the ease of the process too. The CAD/CAM technology provides an accurate result from your precise specifications. CEREC is often the perfect solution for unexpected tooth trauma, a broken crown, and other cases. Especially in cases where immediate placement will promptly restore your dental health.

The Dental Crown Process
Your treatment depends on the type of crown, the location of the affected tooth, and if we are using CEREC. In all cases, we will evaluate your dental health and recommend the best treatment option for your needs.
The integrity of your result is the goal of your treatment. The type of crown we recommend will depend on the severity of your dental concern, the location of the tooth, and your cosmetic goals.
Traditional Crown Treatment
A traditional dental crown will require a couple of visits to place, starting with tooth preparation and dental impressions. Our dentist will send the impressions to a lab along with the specifications for your crown.
Our dentist will place a temporary crown while you wait for the final custom crown to arrive from the lab. The crown is often in our office within a couple of weeks. We will call you to return for the placement and fitting as soon as we get it.
Then, our dentist will place the new crown on the prepared tooth. He will adjust it to make sure you are comfortable with your new bite, and then permanently secure it to the tooth.
Same-Day Crowns
The same-day dental crown process is a little different. We will begin by preparing the tooth and taking digital impressions. Then, we will upload the digital images to our CEREC software. This will let us plan the design and milling of your crown while you wait.
Our dentist will make any necessary adjustments for fit and comfort once the crown is complete. He will then permanently attach the crown to your tooth. You will not need a temporary crown or a return visit! We will also make sure to give you instructions on how to take care of your new crown.

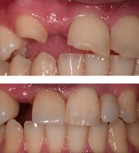
Before and After Same-Day Crown at Dechter and Moy
How to Maintain Dental Crowns
Take special care of your new crown during the first couple of days following your dental crown procedure. First avoid hard and sticky foods for the first 48 hours. This will help the dental cement and crown settle in without any issues.
Hard and sticky foods can damage and loosen the crown before it permanently settles on your tooth. This also leads to the next point, crowns are not unbreakable.
Pay attention to what you eat and use your teeth for if you have a dental crown or two. Do not chew on ice with a crown, or use your teeth to open things. Dental crowns are as tough as real tooth enamel, so be gentile when chewing on foods like nuts, popcorn, carrots, and jerky.
Cleaning your dental crown is the same as cleaning your real teeth. Continue following your oral hygiene routine that includes brushing, flossing, and professional dental cleanings. However, pay special attention to the gumline around your dental crown when flossing.
Patient Case Study
“Two weeks ago my son was attacked by a group of maniacs. He suffered trauma to his mouth fracturing teeth #8, #9. After doing some research I chose Dechter & Moy Dentistry. Their kindness and customer service were fantastic from the front office to the operatory.
They have state-of-the-art dental equipment allowing my son to leave with two beautiful permanent crowns in one visit, eliminating the need for a second temporary replacement visit. My son and I are so so pleased he scheduled an appointment for a cleaning.”

Frequently Asked Questions
Learn more about dental crowns in Silver Spring, MD, with answers to these patient questions.
Why do I need a dental crown?
You may need one to restore your oral health. Dentists use them to treat weak, decaying, and worn-down teeth. They can also anchor a dental bridge and act as a cap for dental implants. Dental crowns are so versatile that your dentist may use one in restorative and cosmetic dentistry.
What is a dental crown made of?
A dental crown can consist of a variety of compounds such as porcelain, ceramic, metal, acrylic, and gold. Typically, your dentist will use a metal crown on the molars. Our dentist will use a dental cement to hold the crown in place. This is a semi-permanent treatment for a damaged tooth.
How long do dental crowns last?
A dental crown’s lifespan is typically around five to fifteen years, depending on a patient’s oral care routine. For example, regularly brushing and flossing your teeth will keep your crown in great condition for a long time.
Your diet can also affect the life of your dental crowns. The life of your crown may lean closer to five years before it begins causing problems if you eat a lot of sticky or hard foods. Smoking and chewing tobacco can also damage the crown.
Am I a good candidate for a same-day crown?
Most patients are good candidates for same-day crowns. Dr. Dechter and Dr. Moy will first check your overall oral health to make sure your teeth and gums are strong enough for the crown. You should be free of active infections, untreated cavities, or severe gum disease. Same-day crowns work well for teeth that are damaged, worn down, or have had a root canal. If your oral health is in good shape, you can enjoy the convenience of a custom crown in just one visit.
What can I eat with a same-day crown?
After getting a same-day crown, you can eat most foods normally. But you want to avoid very hard, sticky, or chewy foods like ice, nuts, caramel, or taffy for the first 24 to 48 hours. These can put extra pressure on the crown before it fully settles. After that, your crown is strong enough for everyday eating. Always try to chew gently and avoid using your crown to bite into very hard items.
What’s the difference between a dental crown and a cap?
There’s no difference! “Crown” and “cap” mean the same thing. Both terms describe a covering that goes over a damaged or weak tooth to protect it, restore its shape, and improve how it looks. Some people say “cap” because it literally caps the tooth, while “crown” is the more common dental term.
Do crowns break over time?
Over time, crowns may crack or break off. They are strong and durable but not as strong as a natural tooth. Our dentist can repair a crack in your crown. If you break your crown, we can replace it in our office.
How much tooth enamel do I need for a crown?
A dental crown is a great option if more than half of your tooth is damaged. Our dentist can place it with as little as a quarter of healthy teeth remaining. The crown will sit right at the gumline.
Protect Your Teeth
Call Dechter and Moy at (301) 508-9755 when you are ready for same-day dental crowns in Silver Spring, MD. Let us know if you have more questions about crowns. We’ll be happy to help.
